Logo Anna Kolet-Nowak

lek. dent.

Anna Kolet-Nowak

specjalista ortodoncji | Kraków

Nowoczesna ortodoncja oparta na precyzyjnej diagnostyce, interdyscyplinarnym podejściu i indywidualnym planowaniu leczenia.

lek. dent. Anna Kolet-Nowak

O mnie

Jestem specjalistą ortodoncji z doświadczeniem w leczeniu dzieci i dorosłych. W pracy stawiam na dokładną diagnostykę, interdyscyplinarne podejście i trwałe efekty leczenia. Każdy plan tworzę indywidualnie – z myślą o estetyce, funkcji i zdrowiu całego układu stomatognatycznego.

Ukończyłam Collegium Medicum Uniwersytetu Jagiellońskiego. Specjalizację z ortodoncji odbyłam w Uniwersyteckiej Klinice Stomatologicznej w Krakowie, a w 2018 roku uzyskałam tytuł specjalisty ortodoncji, potwierdzony Państwowym Egzaminem Specjalizacyjnym.

Jestem członkiem Polskiego Towarzystwa Ortodontycznego (PTO) oraz European Orthodontic Society (EOS). Regularnie uczestniczę w kursach i konferencjach w kraju i za granicą, stale poszerzając swoją wiedzę i doskonaląc umiejętności kliniczne.

Zakres leczenia

Indywidualne podejście do każdego pacjenta – nowoczesne metody leczenia ortodontycznego.

Aparaty stałe

Estetyczne i metalowe aparaty stałe dostosowane do potrzeb pacjenta.

Nakładki przezroczyste (alignery)

Nowoczesne leczenie z wykorzystaniem dyskretnych, przezroczystych nakładek.

Retencja

Utrwalenie efektów leczenia za pomocą indywidualnie dopasowanych retainerów.

Jak pracuję

1. Konsultacja

Ocena wskazań i określenie możliwości leczenia.

2. Diagnostyka

Dokładne badanie, zdjęcia RTG i analiza modeli cyfrowych.

3. Plan leczenia

Indywidualny plan dopasowany do potrzeb estetycznych i funkcjonalnych.

4. Leczenie aktywne

Regularne wizyty kontrolne i kompleksowa opieka.

5. Retencja

Utrwalenie i monitorowanie efektów leczenia.

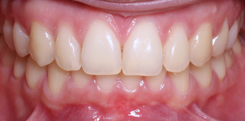
Efekty leczenia

Wybrane przypadki kliniczne przed i po leczeniu.

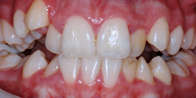
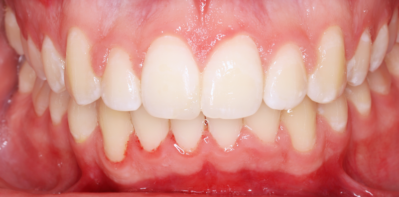
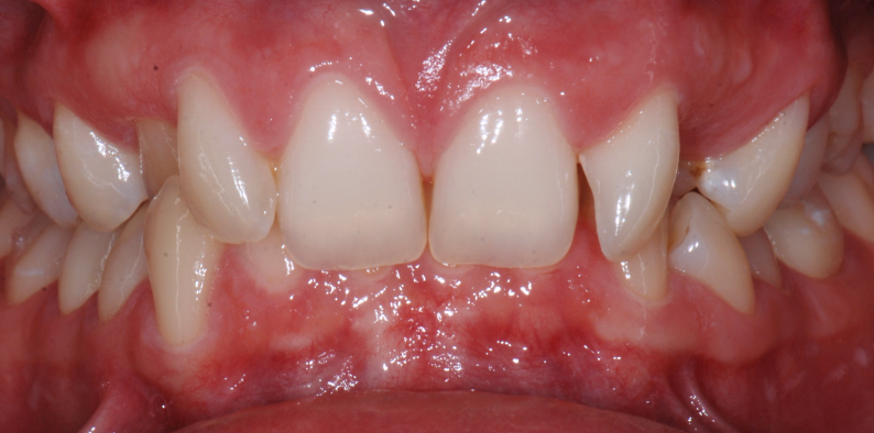
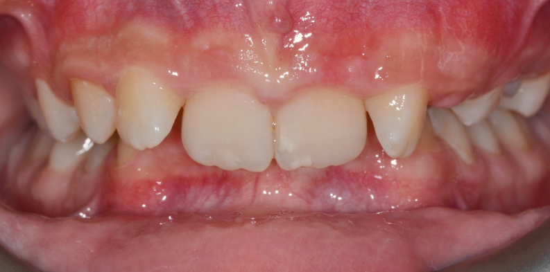
Przypadek 1

Przed
Po
Stan przed leczeniem - przypadek 1 Stan po leczeniu - przypadek 1

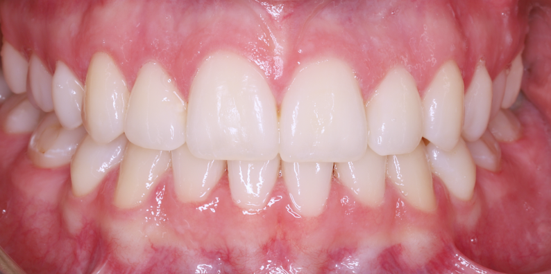
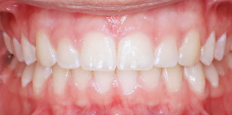
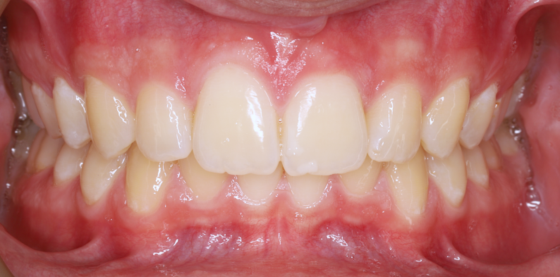
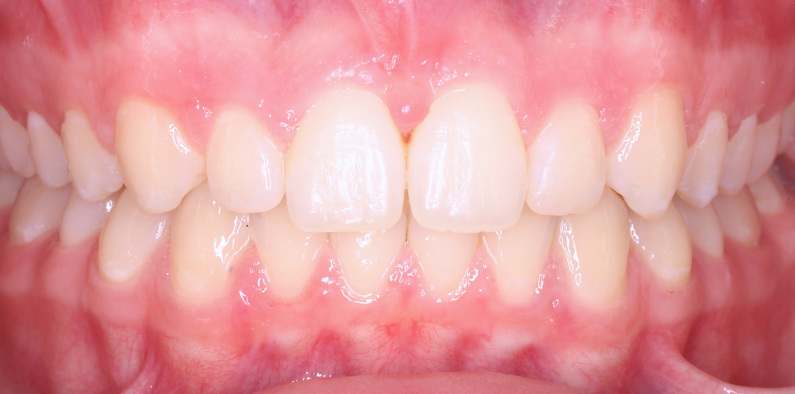
Przypadek 2

Przed
Po
Stan przed leczeniem - przypadek 2 Stan po leczeniu - przypadek 2

Przypadek 3

Przed
Po
Stan przed leczeniem - przypadek 3 Stan po leczeniu - przypadek 3

Przypadek 4

Przed
Po
Stan przed leczeniem - przypadek 4 Stan po leczeniu - przypadek 4

Przypadek 5

Przed
Po
Stan przed leczeniem - przypadek 5 Stan po leczeniu - przypadek 5

Przypadek 6

Przed
Po
Stan przed leczeniem - przypadek 6 Stan po leczeniu - przypadek 6

Przeciągnij suwak, aby zobaczyć efekty leczenia

Kontakt

Umów wizytę lub skontaktuj się w celu konsultacji.

Umów wizytę

Chcesz umówić wizytę lub konsultację? Skontaktuj się z gabinetem w którym przyjmuję:

Stomatologia Wichlińscy Kraków
ul. Prądnicka 65/113, 31-202 Kraków


Specjalistyczny gabinet stomatologiczny oferujący kompleksową opiekę dentystyczną.

Odwiedź stronę gabinetu

Masz pytania?

Chcesz o coś zapytać? Napisz do mnie:

Lokalizacja gabinetu

Dostępny parking Bezpłatne WiFi Przestrzeń dostosowana dla osób z niepełnosprawnością